Onko vatsarasva vaaraksi?

Hoikkaankin varteen voi olla kertynyt turhan paljon haitallista rasvaa sisäelinten ympärille. Lue, mistä erottaa harmittomat vatsamakkarat ja vaarallisesta vatsaontelon rasvasta kielivän kummun sekä miten niistä voi päästä eroon.

Nauravaisia naisia alusvaatteissa

Ei ole yhdentekevää, minne päin kehoa rasvavarastot ovat asettuneet.

© iStock

Rasvan sijainnilla on merkitystä

Lääketiede on alkanut painottaa elimistöön kertyneen rasvan haitallisuudessa yhä keskeisempänä tekijänä rasvan sijaintia – ei pelkästään rasvan määrää. Sisäelinten väliin kertynyt rasva voi nimittäin altistaa monille terveyshaitoille, mutta vaaka ei välttämättä kerro vielä mitään keskivartalon rasvakertymästä.

"Laihaläski" ei välttämättä näytä ylipainoiselta, sillä rasva on kertyneenä vatsaonteloon, sisäelinten ympärille ja väliin. Tämän ns. viskeraalisen rasvan varastoitumista edistää istuva elämäntapa.

Lue mÿos: Vyötärön ja lantion suhde: Laske rasvan jakauma

Keskivartaloon kertyvä rasva on terveydelle haitallisempaa kuin esimerkiksi reisiin tai pakaroihin asettunut rasva. Vatsaonteloon kertynyt rasva erittää sytokiineja, haitallisia välittäjäaineita, jotka ylläpitävät elimistössä matala-asteista tulehdusta. Keskivartaloon kertynyt rasva lisää esimerkiksi insuliiniresistenssin riskiä, mikä kasvattaa muun muassa kakkostyypin diabeteksen ja monien elintapasairauksien riskiä.

Haitallisen keskivartalorasvan voi parhaiten todeta magneettikuvauksella, mutta tähän harvalla on mahdollisuutta. Keskivartalon kummun mahdollista haitallisuutta voi kuitenkin selvittää muillakin keinoin. Listasimme parhaat tavat selvittää, onko keskivartalo vaarallisen pyöreä, sekä tehokkaat keinot keskivartalorasvan vähentämiseen.

Miten voit päästä keskivartalorasvasta eroon

Mistä haitallisen keskivartalorasvan tunnistaa?

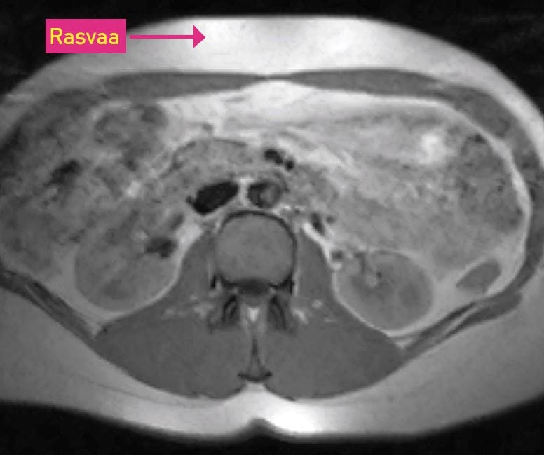
Rasvaa välittömästi ihon alla

Toteaminen

Katse peiliin! Vyötäröä verhoavasta pehmeydestä ei välttämättä tarvitse huolehtia lainkaan. Jos mahan pömpötysaste vaihtelee päivästä toiseen, ongelman lähde lienee suolistossa, ei sen lomaan kertyneessä rasvassa. Jos vatsa turvottelee, ruokavalioosi kuuluu todennäköisesti ruokia, jotka ärsyttävät suolistoasi. Myös nämä merkit viittaavaat siihen, ettei vatsan kummun alla piile terveydelle haitallista rasvavarastoa:

  • vyötärönympärys on alle 80 cm
  • vyötärön "makkarasta" saa helposti otteen
  • vatsa "leviää" selinmakuulla ja näyttää selvästi litteämmältä kuin seisoessa.

Lue mÿos: Mikä on naisten ja miesten normaali rasvaprosentti?

Terveysvaikutus

Vyötärömakkarat eivät ole vaarallisia. Välittömästi ihon alla sijaitsevista rasvavarastoista erittyy vain vähän sytokiineja, eikä muualla kuin sisäelinten välissä sijaitseva rasva myöskään haittaa elimistön toimintaa. Kaikkea keskivartalorasvaa pidetään kuitenkin haitallisempana kuin reisiin ja takapuoleen kertynyttä rasvaa, joten sen vähentämisestä voi olla hyötyä hyvinvoinnille.

Taustaa

Ylimääräinen energia varastoituu kehoon rasvaksi, joten "ylimääräinen" pehmeys on seurausta energian saannin ylijäämästä kulutukseen nähden.

Torjunta

Pidä energian saanti ja kulutus tasapainossa. Vähennä turhaa sokeria ja höttöhiilareita. Liiku säännöllisesti ja vältä stressiä. Nuku riittävästi ja jos tupakoit, lopeta.

Rasvaa välittömästi ihon alla

RASVAA VÄLITTÖMÄSTI IHON ALLA Vatsan poikkileikkaus. Kuvassa valkoisena näkyvää rasvaa on jonkin verran välittömästi ihon alla, mutta niukasti sisäelinten välissä.

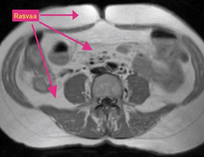
Rasvaa sisäelinten välissä

Toteaminen

Varmin tieto siitä, paljonko kehossa on viskeraalista rasvaa, saadaan magneettikuvauksella. Suomessa näitä tutkimuksia ei rasvan selvittämiseksi kuitenkaan tehdä. Rasvan jakautumista voidaan selvittää jossain määrin kehonkoostumusmittauksilla, mutta helpoin ja halvin tapa selvittää mahdollinen keskivartalolihavuus on mitata vyötärönympärys mittanauhalla.

  • Jos vyötärönmitta ei vaihtele vaan mittanauha osoittaa aina samoja (isoja) lukuja, eikä vatsan muoto muutu selinmakuulla, on melko todennäköistä, että lukemien syynä on rasva.

  • Vyötärölihavuuden rajana pidetään 90 cm:n vyötärönympärystä. Jos vyötärönympärys on 80 cm, kannattaa jo panostaa painonhallintaan, jotta ympärys ei kasvaisi enempää.

Lue mÿos: Vyötärönympärys on tärkeämpi kuin BMI

Terveysvaikutus

Sisäelinten väliin kertynyt rasva altistaa kaikille sairauksille, joiden synnyssä lihavuus on riskitekijä, kuten kakkostyypin diabetekselle, sydänsairauksille, korkealle verenpaineelle ja joillekin syöville.

Taustaa

Viskeraalisia rasvavarastoja kasvattavat elintavat, etenkin liikunnan puute, sekä runsas sokerin saanti. Myös runsas alkoholin käyttö edistää rasvan kertymistä vatsa­onteloon, samoin stressi ja uniongelmat.

Torjunta

Terveellinen painonpudotus sekä säännöllinen, pitkäkestoinen kestävyysliikunta ovat parhaita konsteja vyötärölihavuuden torjuntaan. Hyvinvointiin kannattaa panostaa kokonaisvaltaisesti: nuku hyvin ja pidä stressi loitolla.

Rasvaa sisäelinten välissä

RASVAA SISÄELINTEN VÄLISSÄ Vatsan poikkileikkaus. Kuvassa valkoisena näkyvää rasvaa on sekä välittömästi ihon alla että vatsaontelossa sisäelinten välissä.

Keskivartalorasvan vähentäminen

Rasvavarastojen pienentäminen edistää terveyttä aina, riippumatta siitä ovatko varastot kertyneet vatsaonteloon vai ihon alle. Näillä ohjeilla voit karistaa rasvaa helposti ja kestävästi.

LUE MYÖS: PAINOINDEKSILASKURI: laske, oma painosi normaalin rajoissa

1. Vähennä energiansaantia suhteessa kulutukseen

Ensimmäinen ja tärkein askel on syödä vähemmän kuin kuluttaa. Liian tiukalle dieetille ei kuitenkaan kannata ryhtyä, sillä se johtaa helposti vain painon jojoiluun. Aseta maltilliset tavoitteet ja pidä ruokapäiväkirjaa.

Päivän energiansaannin jakautuminen, esimerkki:

  • Aamupala 20–25 %
  • Välipala 10 %
  • Lounas 20–25 %
  • Välipala 15–20 %
  • Päivällinen 25–30 %

Muista tarvittaessa myös pieni iltapala, joka voi helpottaa unen saantia.

Pikkunälän iskiessä ovat hyvät välipalat tarpeen! Katso reseptit terveellisiin, herkullisiin välipaloihin täältä.

2. Liiku monipuolisesti ja säännöllisesti

Sen lisäksi, että fyysinen aktiivisuus kuluttaa energiaa, lihasmassa kuluttaa myös enemmän energiaa kuin rasva myös levossa. Sekä maltillisesti sykettä kohottava pitkäkestoinen kestävyysliikunta että raskaampi lihastreeni ovat mainioita tapoja kuluttaa keskivartalon rasvaa. Viisainta on valita lajeja, joista itse pitää, sillä silloin tulee todennäköisemmin lähdettyä liikkumaan. Kiireiselle sopivat myös intervalliharjoitukset, joissa aikaa ei tuhraannu turhia mutta jotka vauhdittavat energiankulutusta myös pitkään treenin jälkeenkin. Viikossa kannattaa treenata 3–4 kertaa ja liikkua muutenkin päivittäin – esimerkiksi työmatkojen kävely tai pyöräily on erinomaista arkiliikuntaa.

Täältä löydät vinkit ja ohjelmat monipuoliseen treenamiseen!

3. Vältä verensokeripiikit

Syö säännöllisesti ja terveellisesti – äläkä jätä välipaloja väliin. Kolmen tunnin ateriaväli sekä noin 15–25 grammaa hiilihydraattia sisältävät ateriat auttavat pitämään verensokerin tasaisena.

Joka aterialla olisi hyvä proteiinia, mieluusti vähintään 15 grammaa, hieman terveellistä rasvaa ja hiilihydraatteja. Suosi kasviksia ja täysjyvätuotteita.

Jotta olosi pysyisi tasaisen kylläisenä, nauti proteiinia joka aterialla. Proteiinin sulaminen vie aikaa, ja siksi proteiinipitoinen ateria viipyy mahalaukussa pitkään ja pitää mahan täynnä. Proteiinit hidastavat hiilihydraattien imeytymistä ja tasoittavat siten aterian vaikutusta verensokeriin. Sokeriaineenvaihdunnan kuormitus on omiaan keräämään rasvaa väärään paikkaan vatsaonteloon.

Kaipaatko vinkkejä terveelliseen syömiseen? Katso helpot reseptit täältä!

4. Lievitä stressiä

Jos olet jatkuvasti stressaantunut, mieti miten voisit muuttaa elämääsi. Tietoisuustaitojen harjoittaminen eli mindfulness on hyvä stressinpoistometodi. 20 minuutin helppo meditointi aamuisin alentaa päivän stressi-tasoa ratkaisevasti. Luonnossa liikkuminen on mainio tapaa lievittää stressiä.

Treenistä ei kannata ottaa turhia paineita, jos olo on muutenkin stressaantunut. Reipas kävelylenkki on jo hyvää liikuntaa sekä terveyden että stressin hallinnan kannalta.

Katso neljä vinkkiä stressin vähentämiseen arjessa.

5. Nuku hyvin

Hyvät yöunet ovat jaksamisen avain. Päivän rutiinit kannattaa järjestää niin, että pääset ajoissa nukkumaan ja saat riittävän pitkät unet, jolloin heräät virkeänä ja levänneenä eikä väsymys iske kesken päivän. Nukahtamista ja unen laatua voi edistää liikkumalla päiväsaikaan, rauhoittamalla illan viime tunnit mobiilaitteilta ja televisiolta ja syömällä hiilihydraattipitoisen iltapalan. Kehoa sopivasti tukeva patja ja tyyny, riittävän pimeä makuuhuone ja raitis huoneilma edistävät hyviä unia.

Testaa, olisiko iltarutiineissasi parantamisen varaa.

6. Niukasti alkoholia

Alkoholi edistää rasvan kertymistä vatsaonteloon ja hidastaa rasvan palamista ja vaikuttaa myös haitallisesti yöuniin. Siksi alkoholin nauttiminen tulee pitää minimissään tai mielellään vaikka nollassa.

Lue, miten alkoholi vaikuttaa treeniin.

7. Valitse rasvasi oikein

Älä karta rasvaa aterioilla. Niin kauan kuin kalorit pysyvät kokonaisuudessaan kurissa, ei rasvaa tarvitse vältellä. Rasva päinvastoin hillitsee aterialla nautittujen hiilihydraattien verensokerivaikutusta. Tutkimuksista tiedetään, että kertatyydyttymätön rasva saa kehon polttamaan vatsarasvaa ahkerammin. Tätä ilmiötä kannattaa hyödyntää: kokeile mahduttaa päivän joka aterialle jokin kertatyydyttymättömän rasvan lähde.

Kokeile näitä:

  • oliiviöljyä
  • rypsiöljyä
  • pekaanipähkinöitä
  • hasselpähkinöitä
  • manteleita ja cashewpähkinöitä
  • oliiveja
  • maapähkinöitä ja parapähkinöitä
  • avokadoa

Katso kolme vinkkiä vatsarasvan karistamiseen!